اكتشاف جين في الطفيلي المسبب للملاريا يمنح الباحثون خطوة للأمام لأنتاج لقاح حي فعال
منوعات
اكتشاف جين في الطفيلي المسبب للملاريا يمنح الباحثون خطوة للأمام لأنتاج لقاح حي فعال
1 آذار 2025 , 13:42 م

تعد  الملاريا من الأمراض التي تواصل قتل حياة مئات الآلاف من البشر سنويا، حيث لا يزال هذا الطفيلي يودي بحياة نحو 400,000 شخص سنويا، مع تسجيل أكثر من 200 مليون إصابة جديدة كل عام, وعلى الرغم من تراجع أعداد الوفيات الناتجة عن هذا المرض في العقود الأخيرة، إلا أن الحاجة إلى حلول أكثر فعالية تبقى ماسة.

التحديات التي تواجه مكافحة الملاريا

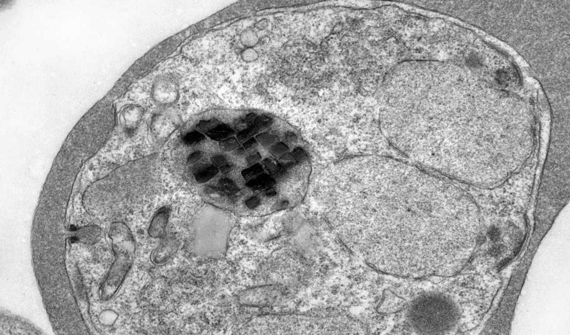
تتمثل إحدى التحديات الرئيسية في الدورة الحياتية المعقدة لطفيلي Plasmodium falciparum المسبب للملاريا. يدخل الطفيلي إلى دم الإنسان عبر لدغة البعوضة، ويتنقل بسرعة إلى خلايا الكبد حيث يتكاثر على مدى عدة أيام، ثم يتم إطلاق الآلاف من الطفيليات إلى الدم، مما يؤدي إلى إصابة خلايا الدم الحمراء وظهور أعراض حمى شديدة.

اللقاحات الحالية وفعاليتها المحدودة

اللقاحات المعتمدة حاليًا تستهدف بروتينا واحدا فقط في الطفيلي، مما ينشط مجموعة محدودة من خلايا المناعة، وتوفر هذه اللقاحات حماية تصل إلى 70% فقط، وتستمر حوالي عام واحد قبل أن تبدأ مستويات الأجسام المضادة في الانخفاض، ورغم أن هذا أفضل من عدم وجود لقاح، إلا أنه لا يعد مثاليا.

النهج الجديد: لقاح حي مع طفيلي ضعيف

في خطوة جديدة، قام فريق الباحثين بتطوير لقاح يتضمن طفيليا كاملاً ولكنه ضعيف، هذا النوع من اللقاحات يوفر عددا أكبر من الأهداف للجهاز المناعي، وقد تم استخدامه بنجاح في مكافحة الأمراض الفيروسية مثل الحصبة، تتمثل إحدى الفوائد الرئيسية لهذا اللقاح في أنه يظل الطفيلي في الكبد لفترة طويلة، مما يوفر بيئة مثالية لتحفيز الجهاز المناعي وتكوين خلايا الذاكرة.

تعديلات جينية دقيقة على الطفيلي

من خلال عمليات فحص واسعة النطاق، بحث العلماء عن جينات يمكن تعطيلها دون أن تؤدي إلى قتل الطفيلي، ولكنها توقف تطوره في مرحلة الكبد، بعد اختبار 1,500 نوعا مختلفا من الطفيليات، تم تحديد طفيلي معدل جينيا يتمكن من الانتقال إلى الكبد والتكاثر فيه، ولكنه لا يطلق الطفيلي إلى مجرى الدم.

تجنب المخاطر: الحذر من العدوى المتقدمة

رغم النتائج الواعدة، حذر الباحثون من أن استخدام طفيلي ضعيف قد لا يكون خاليا من المخاطر في بعض الحالات النادرة، قد ينجح الطفيلي في تجاوز الحواجز الجينية التي تم وضعها، مما قد يؤدي إلى حدوث عدوى بالملاريا، لذا من الضروري التأكد من أن الطفيلي قد تم تعديله في عدة نقاط جينية.

نتائج تجارب واعدة باستخدام الطفيلي المعدل جينيا

تمكنت التجارب الأولية باستخدام الطفيلي المعدل جينيا من توفير حماية تامة ضد الملاريا في الفئران، وقد أظهرت النتائج أن الفئران المحصنة لم تصب بالمرض حتى بعد تلقي جرعات عالية من الطفيلي المعدل. ويأمل الباحثون في تطبيق هذه النتائج على الطفيلي المسبب للملاريا في البشر.

الطريق إلى لقاح آمن وفعال

رغم هذه النجاحات، يبقى الوصول إلى لقاح آمن وفعال على البشر أمرا بعيد المنال، قد يتطلب الأمر تعديل جينات إضافية للطفيلي أو حتى استخدام أكثر من نوع من التعديلات الجينية لضمان أن الطفيلي لا يتجاوز الحواجز المعدة له.

الأكثر قراءة أنواع النكاح عند العرب قبل الإسلام, قراءة سريعة
أنواع النكاح عند العرب قبل الإسلام, قراءة سريعة
هل تريد الاشتراك في نشرتنا الاخباريّة؟
شكراً لاشتراكك في نشرة إضآءات
لقد تمت العملية بنجاح، شكراً