أعلن باحثون من جامعة كيس ويسترن ريزيرف بالتعاون مع مستشفيات الجامعة عن تطوير علاج مناعي جديد قد يشكل نقلة نوعية في علاج سرطان العظام الأكثر شيوعا لدى الأطفال والشباب.
وقد نُشرت نتائج الدراسة في مجلة BMC Medicine.
ما هو الساركوما العظمية؟
يُعد الساركوما العظمية أكثر أنواع سرطان العظام انتشارا بين الأطفال والمراهقين، خاصة خلال فترات النمو السريع.
ويتم تشخيص نحو 1000 حالة سنويًا، بينما لا تزال أسبابه غير واضحة بشكل كامل، رغم ارتباطه بتغيرات في الحمض النووي للخلايا المكوّنة للعظام.
محدودية العلاجات التقليدية
على مدى أكثر من 40 عاما، لم تشهد طرق علاج هذا المرض تغييرات كبيرة، حيث تعتمد بشكل أساسي على:
العلاج الكيميائي
التدخل الجراحي
ورغم ذلك، تظل النتائج محدودة، خاصة في الحالات التي ينتشر فيها السرطان إلى أعضاء أخرى.
علاج CAR-T: إعادة برمجة جهاز المناعة

يعتمد العلاج الجديد على تقنية CAR-T، والتي تقوم على تعديل الخلايا المناعية للمريض لتتعرف على الخلايا السرطانية وتهاجمها.
وقد حققت هذه التقنية نجاحًا كبيرًا في علاج سرطانات الدم، لكنها كانت أقل فعالية في الأورام الصلبة مثل الساركوما العظمية.
استهداف بروتين جديد لتعزيز الفعالية
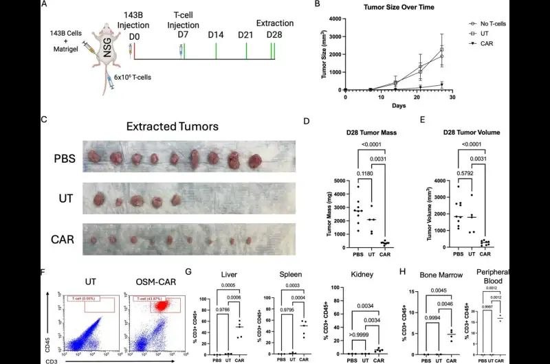
نجح الباحثون في تطوير نوع جديد من خلايا CAR-T يستهدف مستقبلات بروتين يُعرف باسم Oncostatin M (OSM)، الموجود على سطح خلايا سرطان العظام.
ويتيح هذا النهج للخلايا المناعية التعرف على عدة إشارات على سطح الخلايا السرطانية، ما يزيد من قدرتها على مهاجمتها بفعالية.
نتائج واعدة في التجارب الأولية
أظهرت الدراسة أن العلاج الجديد:
نجح في تدمير الخلايا السرطانية في جميع العينات التي تم اختبارها
كان فعالا في القضاء على الأورام المنتشرة في الجسم في نماذج الفئران
قد يساعد المرضى الذين لا يستجيبون للعلاجات التقليدية
أمل جديد للمرضى في المستقبل القريب
يخطط الباحثون لبدء التجارب السريرية على البشر خلال العامين المقبلين. وإذا أثبت العلاج فعاليته، فقد يؤدي إلى:
تقليل الحاجة إلى العمليات الجراحية
تحسين نسب الشفاء
تقديم خيار علاجي جديد للحالات المتقدمة
خطوة نحو علاج أكثر دقة وأقل آثارا جانبية
يمثل هذا الابتكار توجها متقدما نحو علاجات موجهة تعتمد على جهاز المناعة، ما قد يوفر نتائج أفضل مع آثار جانبية أقل مقارنة بالعلاج الكيميائي التقليدي.و