توصل باحثون إلى اكتشاف جديد يفسّر أصل خلايا لمفوما هودجكين، حيث تبيّن أنها خلايا مناعية عالقة في مرحلة انتقالية غير مكتملة، وهو ما يفتح المجال لتطوير طرق تشخيص أكثر دقة وعلاجات مستهدفة.

“أزمة هوية” داخل الخلايا المناعية
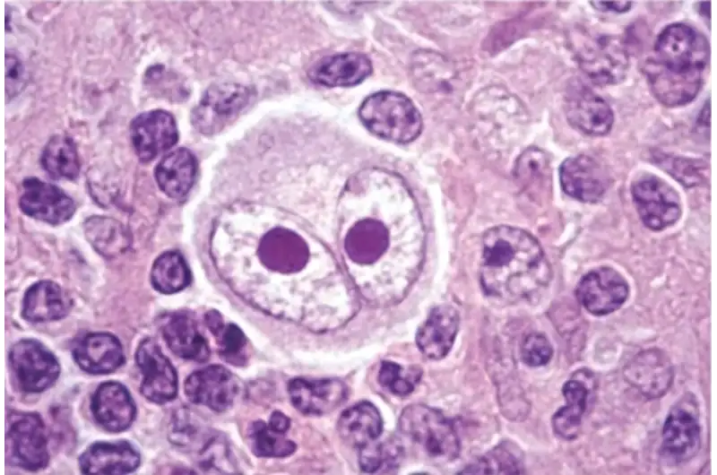
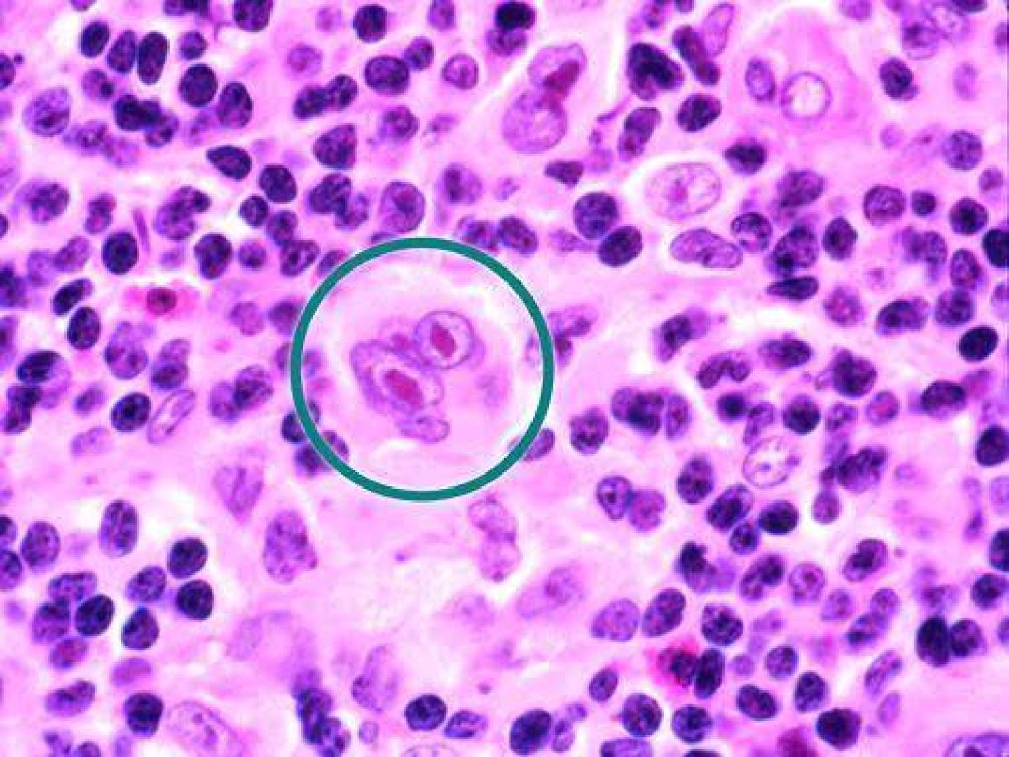
أظهرت الدراسة أن الخلايا السرطانية المعروفة باسم خلايا ريد-ستيرنبرغ تنشأ من خلايا بائية (B cells)، لكنها تفشل في إكمال تحولها الطبيعي إلى خلايا بلازمية مسؤولة عن إنتاج الأجسام المضادة.
بدلا من ذلك، تدخل هذه الخلايا في حالة غير مكتملة، حيث:
تفقد خصائصها الأساسية كخلايا بائية
لا تكتسب الوظائف الكاملة للخلايا البلازمية
تستمر في البقاء كخلايا سرطانية
إعادة تعريف طبيعة المرض
تغيّر هذه النتائج الفهم التقليدي للمرض، إذ لم يعد يُنظر إليه فقط كتكاثر غير منضبط للخلايا، بل كفشل في عملية تطور الخلايا المناعية.
وقد يساعد هذا الفهم الجديد في التمييز بين هذا النوع من السرطان وأنواع أخرى مشابهة مثل الأورام اللمفاوية غير الهودجكينية.
كيف تهرب الخلايا السرطانية من المناعة؟
كشفت الدراسة عن آليات معقدة تمكّن الخلايا السرطانية من التهرب من جهاز المناعة، منها:
تقليل إنتاج علامات سطحية تساعد الخلايا المناعية على التعرف عليها
تعطيل نشاط الخلايا القاتلة الطبيعية (NK cells)
تقليل وجود هذه الخلايا المناعية في محيط الورم
كما أظهرت النتائج أن هذه الخلايا تستخدم آليات داخلية للتكيف مع الضغط الناتج عن عدم قدرتها على إنتاج الأجسام المضادة.
مؤشرات جديدة للتشخيص
أحد أبرز نتائج الدراسة هو تحديد مؤشرات بيولوجية جديدة يمكن استخدامها في التشخيص، مثل بروتين PDIA6 المرتبط بآليات الإجهاد داخل الخلايا.
وقد يساعد ذلك الأطباء في:
التمييز بدقة بين أنواع السرطان المختلفة
تحسين سرعة التشخيص
اختيار العلاج المناسب
من هم الأكثر عرضة للإصابة؟
يصيب هذا النوع من السرطان بشكل شائع:
المراهقين بين 15 و19 عاما
الأشخاص فوق سن 55 عاما
وغالبا ما يظهر على شكل تورم في العقد اللمفاوية في الرقبة أو الصدر أو الإبط.
نحو علاجات أكثر دقة
رغم فعالية العلاج الكيميائي والإشعاعي، إلا أن لهما آثارا جانبية طويلة الأمد. لذلك، يسعى الباحثون إلى تطوير علاجات موجهة تستهدف الخلايا السرطانية بدقة، اعتمادا على الفهم الجديد لطبيعة المرض.
أهمية الدراسة لمستقبل علاج السرطان
يمثل هذا الاكتشاف خطوة مهمة نحو تحسين تشخيص وعلاج لمفوما هودجكين، وقد يسهم في تطوير استراتيجيات علاجية أكثر فعالية وأقل ضررا للمرضى.